Orthoetic Tooth Shape Management
矮小歯 CR審美修復 マスタープログラム
— ワックスアップからCRインジェクションまで、翌日から使えるワークフローを一気通貫
ゴールを知らなければ、
何を作っても迷う。
形は知っている。材料も揃っている。
それでも再現できないのは、
連携の設計図がないからだ。
— 矯正医・補綴医・テクニシャンの連携で、前歯審美を完成させる
クリンチェックで前歯を適当に配列していませんか? 矮小歯を修復するための、ベストなゴール設定を知っていますか? 本プログラムは、矯正医が上顎前歯の解剖学的・審美的要件を深く理解し、自らの手で矮小歯修復を行うための理論的基盤を構築することを目的とした、実践的なプログラムです。
Instructors
DENTAL TECHNICIAN
Satoshi Tsuchiya / デンタルテクニシャン・セラミスト
1985年に自身のラボ「DENT CRAFT」を開設。長年にわたり著名な補綴医・矯正医と多数のコラボレーションを手がけ、今も多くの著名人や女優などに個性と美しさと機能を高度に融合させたデンタルアートを提供し続けている。
東邦歯科技工専門学校卒(1980)/ SJCD所属(1988〜)
ORTHODONTIST
Takuma Fukumoto / 矯正医
矯正治療を軸に、顎関節・咬合までを包括的に捉えた臨床を展開。TMJLIVE、BiTech Ortho、OIJなど複数の年間コースを主宰し、後進の育成にも尽力している。
日本矯正歯科学会 / ヨーロッパ舌側矯正学会 / 日本顎咬合学会 / 国際インプラント学会 認定医
ORTHODONTIST
Takao Minamidate / 矯正医
福岡MA矯正歯科 院長。筑波大学卒業後、武蔵野美術大学大学院でデザインを専攻。デザイン会社勤務を経て歯科医師へ転身した異色の経歴を持つ。アライナー矯正の情報を発信する「Aligner Radio」主宰。
歯学博士 / ヨーロッパアライナー矯正歯科学会 認定医 / 日本矯正歯科学会 所属
PERIODONTICS & PROSTHODONTICS
Ryosuke Hayashi / 歯周・補綴治療
歯周治療・補綴治療を軸に、マイクロスコープを用いた精密治療を得意とする。SJCDやJIADSなど複数のスタディグループで学び続け、常に質の高い臨床を追求している。
東京歯科大学卒 / 日本臨床歯科学会 / 日本顎咬合学会 / 日本歯周病学会 / 日本口腔インプラント学会
PROSTHODONTIST
Rinichiro Abe / 補綴医
卒業以来自らラボワークを行いワックスアップからセラミック製作まで手がける補綴臨床医。デンタルカメラワークにも造詣が深く、歯をアートとして捉える撮影技術は多くの歯科医師の憧れを集めている。
岩手医科大学卒 / 日本補綴歯科学会 / 日本口腔インプラント学会 / 日本睡眠歯科学会 / 日本臨床歯科学会
Support Members
福本 純一
歯科医師
西 高広
歯科技工士
石崎 まい
歯科技工士
土屋 雄飛
歯科技工士
第2期 開催決定
Day 1
2026.8.2(日)20:00 – 24:00
Day 2
2026.8.23(日)10:00 – 17:00
第2期 開催決定
Zoom Session Recap
南舘
矯正医と補綴医のあいだには、誰も専門としない領域がある。前歯の審美、特に矮小歯や2番欠損——どちらの分野にも完全には属さない「三遊間」。スペースをどれだけ開けるか、下顎との接触をどこまで持たせるか。ノギスの数値だけでは0.5ミリのズレが生まれる。
このセミナーは、その溝を埋めるために設計された。矯正医が補綴の眼を持ち、自分の手でプロビジョナルを入れる。クリンチェック上で歯冠形態をデザインし、3Dプリント→シリコンキー→CRインジェクションまで完結させる時代が、もう始まっている。
土屋 + 福本
かつてワイヤー治療では当たり前に出来上がっていた自然な歯の傾斜。アライナー治療では矯正医一人一人の知識に委ねられてしまった今、MBT、Roth、OPAC、スタンダード——各フィロソフィーで処方値が異なるアンギュレーションとインクリネーションの角度差を三次元的に理解することで、その前歯部に美が宿る。
補綴の視点では、まず顔の水平線から始める。上顔面:中顔面:下顔面=1:1:1。鼻下からインサイザルエッジまでを1とすると、オトガイまで1.6。黄金比。そこからインサイザルエッジポジション、ジンジバルレベル(ハイ・ロー・ハイ)、歯幅比へと解像度を上げていく。
阿部
ゼニスポイント、ラインアングル、エマージェンスプロファイル——補綴の世界では当然の用語が、矯正医には馴染みが薄い。逆に矯正医が日常的に使うアンギュレーションやトルクの概念は、補綴医にとって遠い。
補綴医の視点から、前歯審美に不可欠な形態用語と設計概念を体系的に解説。歯冠の豊隆、隅角の位置、反射光の制御——「なぜその形が美しく見えるのか」を言語化し、矯正医と補綴医が同じゴールを共有するための共通言語を構築する。
福本
バイオロジックウィドスの侵害。答えはシンプル——CEJまでトリミングするだけ。2週間でクリーピングが起き、歯肉は回復する。
歯根を頬側に出せばマージンは下がる。骨の中に入れれば上がる。MBTの1番は最もトルクが強く、逆付けすれば+17°が−17°になる。アライナーでは犬歯のトルクに2年を要した症例も。隣在歯を完全固定し、フィニッシングで単独トルクを入れるのがポイント。
林
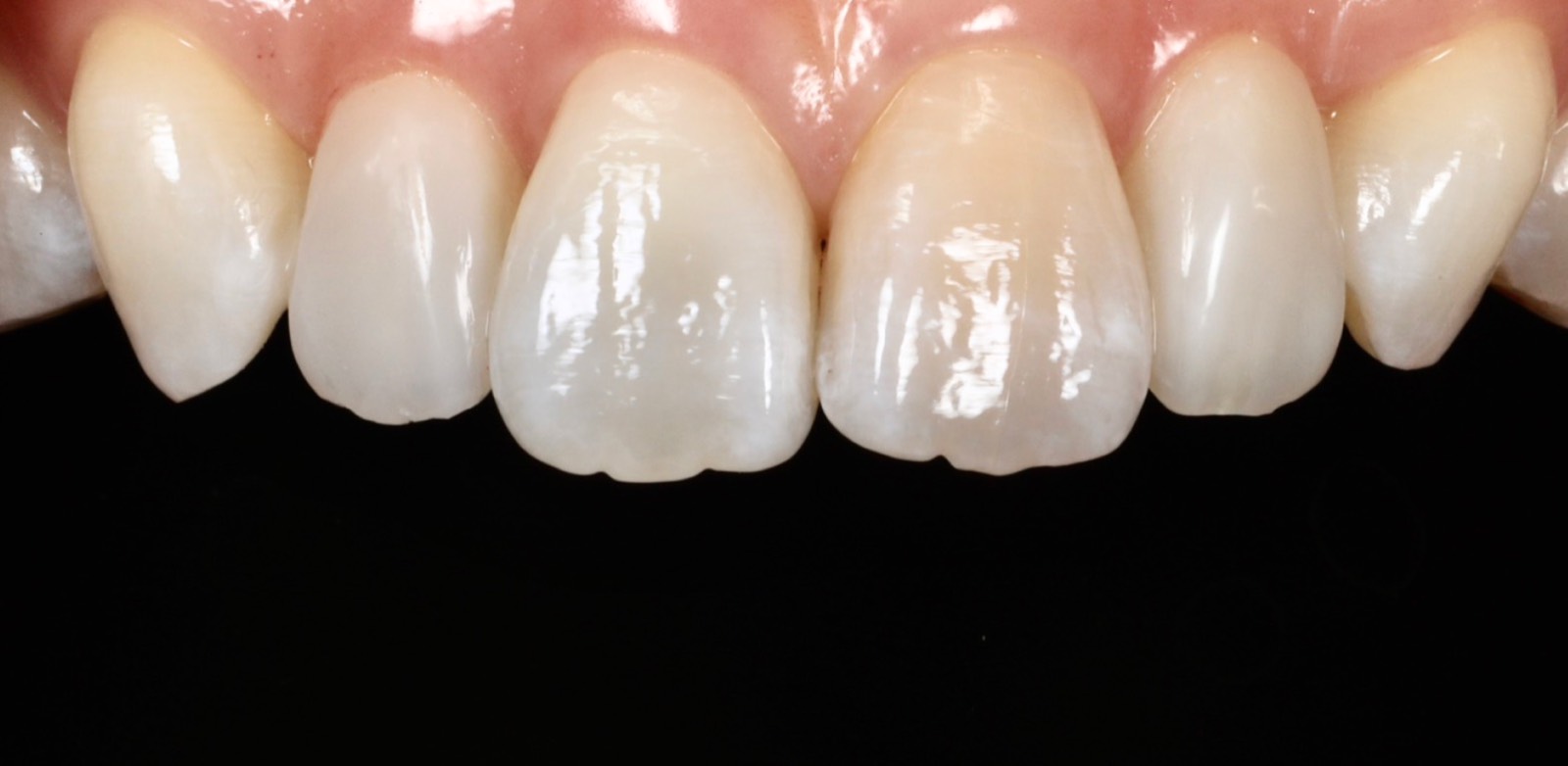
43歳男性。他院矯正後、歯ぎしりで前歯がすり減った。顔貌分析から咬合高径を評価し、残存する左上1番を基準にワックスアップを設計。睡眠時無呼吸という歯ぎしりの根本原因にもアプローチした。
ワックスアップ→シリコンキー→CRインジェクション。削らずに咬合挙上と前歯の審美回復を実現する。CAD/CAMベニアのマージン不適合を経験したからこそ、CRショットの確実性と効率を選んだ。
福本
側切歯の先天欠損——スペースを閉じるか、開けるか。犬歯代用では豊隆・隅角・幅の3点を削って足す必要がある。スペースオープニング+補綴なら、理想形態での再現が可能になる。
前歯部インプラントには落とし穴がある。天然歯の垂直的変化は10年、20年かけて累積し、植えた時に揃っていたマージンがやがてずれる。接着ブリッジなら成長期でも使用可能、低侵襲、脱離しても再接着が容易。小児症例で、矯正による骨ボリューム確保→土屋式骨格技法でのワックスアップ→接着ブリッジという流れを実証した。
土屋
先天性欠如歯8本。16歳の長男に、削らないe.maxブリッジを入れた。矮小歯やペグトゥースにはアンダーカットがない。だから削る必要がない。上顎は3ユニットブリッジ×2、下顎は6前歯ブリッジ。ニケイ酸リチウムで包む。
13年後——グラフトした歯肉はほぼ変わらず。削っていないからマージンの問題が発生しない。「やっと人間になれたよ」と言った息子が、今度は「後ろの歯も白くしたい」と言い出した。
第2期 開催決定
Day 1
2026.8.2(日)20:00 – 24:00
Day 2
2026.8.23(日)10:00 – 17:00
Hands-on Program
福本
歯冠の近遠心位置、頬舌側位置、歯根のアンギュレーション——矮小歯のポジショニングを4問のクイズ形式で問いかける。「知っているつもり」の基準を、根拠とともに見直す。正解がひとつでないからこそ、判断の軸を持つことに意味がある。
福本 + 土屋
なぜ我々は美しい前歯部をうまく作ることが出来ないのか。ゼニスポイント、ラインアングル——審美の基準点を頭で理解するだけでなく、理論を形にするワックスアップのポイントを整理。
林
エナメルと象牙質で接着の条件はまるで違う。コンポジットとPMMA、それぞれの強度特性。素材×接着法の組み合わせで臨床結果は大きく変わる。「外れない・壊れない」修復物を設計するための、素材選択と強度設計の原則を体系的に整理する。
土屋
土屋覚が厳選した、ワックスアップからCRショット修復完了までのコンプリートセット。エヴァンスナイフ、インスツルメント、アルコールランプ、デザインナイフ——なぜこの道具なのか。使い方だけでなく、選定の思想とコンセプトを解説する。
全講師
ワックス、エバンスナイフ、インスツルメント、コンポジットインジェクション、研磨。一連のフローを、講師陣がつきっきりで指導する。見るのではなく、自分の手で完全再現できるまで繰り返す——このプログラムの核心。
ワックスアップ → CRインジェクション → 形態修正・研磨。3ステップを一気通貫で体得する終日実習。
南舘
正しい歯冠形態のイメージを、クリンチェック上でライブ設計する。デジタル上の理想形態が、実際の口腔内でどう再現されるか——設計から実装までのワークフローを、スマイルアーキテクトの視点で習得する。
第2期 開催決定
Day 1
2026.8.2(日)20:00 – 24:00
Day 2
2026.8.23(日)10:00 – 17:00
「明日から臨床で使える」を、この手で。
S/T MOLDING KIT
土屋覚 厳選!明日からできる完全CRショットキット
Past Event
第1期 — 2026.2.8 Zoom / 2026.2.22 グローバルエイト東京ラウンジ








Hands-on Feedback
2026.2.22 グローバルエイト東京 / 回答 11件
第2期 開催決定
Day 1
2026.8.2(日)20:00 – 24:00
Day 2
2026.8.23(日)10:00 – 17:00